dStream technology, digital broadband architecture, digitizes the signal right in the coil.
High quality images and remarkable speed are possible with our dStream digital broadband architecture. Enjoy up to 40% more SNR* and enhanced throughput with channel-independent RF technology that makes upgrades easy. dStream digitizes the signal right in the coil, eliminating noise influences typical of analog pathways, to capture the MR signal without pre-distortion or compression. A fiber-optic connection from the coil to the image reconstructor enables lossless broadband data transmission.

The dStream architecture uses a DirectDigital RF sampling method for digitization: the MRI signal is sampled directly, without conversion to DC. This technique avoids all intermediate analog stages for down-conversion of the signal between the coil element and the analog to digital converter (ADC).

The overall result is a simplified receiving architecture, with few components, low power consumption, high SNR and dynamic range, and enhanced signal and phase stability.

Digitization takes place in the coil itself. ADC electronics have been miniaturized and placed within the coil.
One fiber-optic cable for any number of RF channels replaces multiple coaxial cables and retains image quality. The number of RF channels is no longer a system specification.

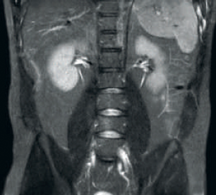
Result: Improved SNR and image resolution

Result: Noisy images using identical scan parameters
Increased consistency and enhanced image quality dStream RF receive technology digitizes the MR signal directly in the RF coil, resulting in an increase of up to 40% more SNR* throughout the whole image volume. Simplified workflow and improved throughput Posterior coil integrated into the tabletop eliminates coil handling in 60% of exams. Lightweight conforming anterior coils and singlehanded, single cable coil connections add to operational ease.


Less upgrade complexity with channel independence There is no need for upgrading system RF receive channels to keep up with advances in coil technology. Future-proof architecture Expansion of clinical capabilities can be achieved without major system overhauls, resulting in lower lifecycle costs and improved value.
While dStream is an integral part of all new Ingenia MR systems, owners of installed system can benefit. SmartPath to dStream is a cost-effective path to digital broadband MR and is available for: • Intera 1.5T • Achieva 3.0T / 3.0T TX • Achieva 1.5T / XR

A visual explanation of dStream architecture.
You are about to visit a Philips global content page
ContinueУебсайтът е предназначен само за хора, които използват медицински изделия като професионалисти, хора, действащи за здравни организации или организации, търгуващи по занятие с медицински изделия.
Вие сте човек, който отговаря на горните критерии ?