







Need more information on Compressed SENSE. We will get in touch with you as soon as possible.
In a society where reimbursements are declining and chronic conditions lead to increased MR procedures and longer waiting times, there is ever increasing pressure on the radiology department. Today, further attempts to accelerate, compromise image quality or are limited to a narrow range of scans. Therefore, to meet the increased demand for productivity, a technology break-through in acceleration is still required. Leveraging our long standing leadership position in speed (i.e. SENSE), Philips brings compressed SENSE, a breakthrough in productivity.
Our goal is to reduce scan time, but we want the same image quality as before”
Sabine Sartoretti, MD, Head of Neuroradiology, Institute of Radiology and Nuclear Medicine, Kantonsspital Winterthur, Switzerland
Compressed SENSE increases the examination efficiency thanks to a shorter scan time with no change in image quality”
Sachi Fukushima, RT, Kurashiki Central Hospital, Japan

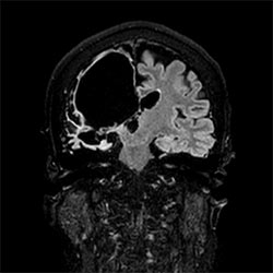
Learn more about the main principles of Compressed SENSE and how it introduces a paradigm shift in productivity, how Compressed SENSE was designed around image quality, and how it advances productivity for clinical MR imaging.

Read about the experiences from Kantonsspital Winterthur (Switzerland) who experienced Compressed SENSE to be a simple yet powerful way to accelerate MRI scanning for different contrast types and sequences, in 2D as well as 3D.

You are about to visit a Philips global content page
ContinueУебсайтът е предназначен само за хора, които използват медицински изделия като професионалисти, хора, действащи за здравни организации или организации, търгуващи по занятие с медицински изделия.
Вие сте човек, който отговаря на горните критерии ?