Rather than speeding up an MRI scan, Philips Compressed SENSE can be used to acquire images with higher resolution - in the same scan time currently allotted for an MRI exam - to increase diagnostic confidence. Sequences can be replaced or added to enhance critical details. A 2D sequence can be replaced with a 3D protocol to provide multiple orientations. Discover how compressed sensing applications can benefit the clinical areas you serve.

In some cases, like brain and spine examinations, it can be useful to use the power of Compressed SENSE to trade 2D MRI scan sequences for faster 3D sequences. This can allow clinicians to achieve high spatial resolution in tiny nerves and vessels.

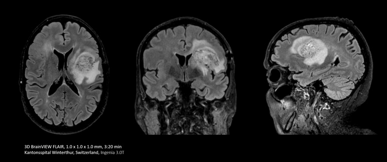
With Compressed SENSE you can replace your single orientation 2D FLAIR scan with a multi-orientation 3D volumetric FLAIR scan in only 3 and a half minutes scan time.
I do a lot of brain imaging, and we used to do the FLAIR sequence using a 5 mm thick slice. Now with Compressed SENSE we are able to take a 3D volumetric scan for about 6 minutes down to maybe 3 and a half minutes.”
Dr. Mark Oswood, MD, PhD, Neuroradiologist, Hennepin Healthcare, Minneapolis, USA

In conventional MRI scan techniques, high resolution imaging can involve long scan times which may be difficult for patients experiencing pain and discomfort. Long scan times can also make it difficult to fit high resolution imaging into acceptable MRI scan time slots for busy departments. Compressed SENSE enables fast 3D submillimeter (0.7 mm or less) isotropic images in less than 5 minutes to help diagnose challenging patients and anatomies.

Patient with breast cancer.
On the left: Conventional 3D mDIXON XD scan with 1.0 mm isotropic voxel size in a scan time of 2:22 min
On the right: Compressed SENSE 3D mDIXON XD scan with 0.8 mm isotropic voxel size in a scan time of 2:21 min.
Courtesy: Kurashiki Central Hospital, Okayama. Japan
In breast scanning, high resolution is important to help me identify very small mammary lesions, so, we need high spatial resolution in 2D T1- and T2-weighted images, as well as a short scan time. Compressed SENSE has allowed us to increase spatial resolution, which benefits our diagnostic confidence.”
Dr. Takashi Koyama, MD, PhD, Diagnostic Radiologist and Director of the Department of Radiology Center and Diagnostic Radiology, Kurashiki Central Hospital, Japan

Compressed SENSE gives MRI departments the flexibility to acquire as much relevant information as possible within the MRI scan time slot. Its speeds allows extra routine and functional sequences to be added to enhance diagnostic information.

This case demonstrates the ability to add additional sequences within the same time slot to enhance your diagnostic confidence. Besides traditional TSE sequences, you can now add a functional DWI sequence within the same timeslot, providing additional information for you to base your diagnosis on.
Because the faster scanning with Compressed SENSE saves us time, we can add a sequence to obtain high quality images for confident diagnosis."
Sachi Fukushima, Radiological Technologist, Kurashiki Central Hospital, Japan

The key to the Philips Compressed SENSE implementation is that it is universally applicable to all 2D & 3D scans as well as all body parts – that makes an enormous difference.”
Dr. Lawrence N Tanenbaum, RadNet, Beverly Hills, CA, USA

Compressed SENSE can accelerate most MRI scan sequences without sacrificing image quality, which allowed KOYASU Neurosurgical Clinic (KNC) to shorten its MRI time slots. As a result, KNC increased the throughput of their MRI scanner with an average of three additional patients per day.

Learn more about the main principles of Compressed SENSE MRI software and how it introduces a paradigm shift in productivity. Compressed SENSE was designed around image quality, and it can accelerate scans, increase spatial resolution and enhance the patient experience for clinical MR imaging.

The MRI staff at Kurashiki Central Hospital incorporated Compressed SENSE into most of the brain, spine, abdominal, and cardiac examination protocols on their Ingenia 1.5T, resulting in fast and high-quality MRI scans, which is welcomed by patients and staff.
You are about to visit a Philips global content page
ContinueУебсайтът е предназначен само за хора, които използват медицински изделия като професионалисти, хора, действащи за здравни организации или организации, търгуващи по занятие с медицински изделия.
Вие сте човек, който отговаря на горните критерии ?